Caracterização do desenvolvimento de cultivares de feijão-caupi e do conteúdo e da qualidade proteica dos seus grãos
DOI:
https://doi.org/10.1590/S1678-3921.pab2020.v55.26734Palavras-chave:
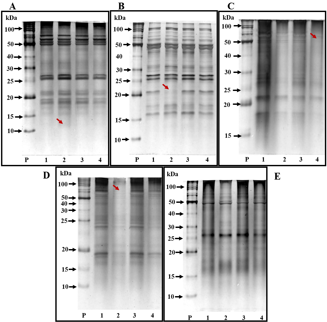
Vigna unguiculata, amino ácidos, proteína do grão, SDS-PAGEResumo
O objetivo deste trabalho foi avaliar cultivares de feijão-caupi (Vigna unguiculata) quanto ao desenvolvimento da planta e à quantidade e à qualidade de proteínas solúveis em seus grãos, com vistas ao melhoramento. O experimento foi conduzido em casa de vegetação, em delineamento experimental inteiramente casualizado, com as cultivares Paulistinha, BRS Novaera, Epace 10 e BR 17-Gurguéia. Avaliaram-se área foliar, peso fresco e seco da parte aérea, conteúdo de proteína foliar, número de nódulos, e massa seca de nódulos e de raiz. Nos grãos maduros, também quantificaram-se as frações solúveis e os aminoácidos solúveis, e a análise eletroforética foi realizada com desnaturação das proteínas. Não houve diferenças entre as cultivares quanto às variáreis do desenvolvimento da planta. No entanto, a quantidade e a qualidade das proteínas nos grãos diferiram entre as cultivares. 'BRS Novaera' e 'BR 17-Gurguéia' apresentaram maior teor de proteína solúvel nos seus grãos. 'BRS Novaera' apresentou maior teor de dois aminoácidos sulfurados solúveis – metionina e cisteína – , não tendo diferido de 'BR 17-Gurguéia' quanto ao conteúdo de metionina. Ambas as cultivares apresentaram polimorfismo de bandas, mas BRS Novaera apresentou uma banda extra para albuminas. As cultivares BRS Novaera e BR 17-Gurguéia apresentam o maior conteúdo de proteínas solúveis nos seus grãos e o maior polimorfismo de proteínas, o que as torna adequadas para o melhoramento nutricional do feijão-caupi.
